05
线上商城
新闻中心
News
当前位置 : 首页> 新闻中心 > 产品动态
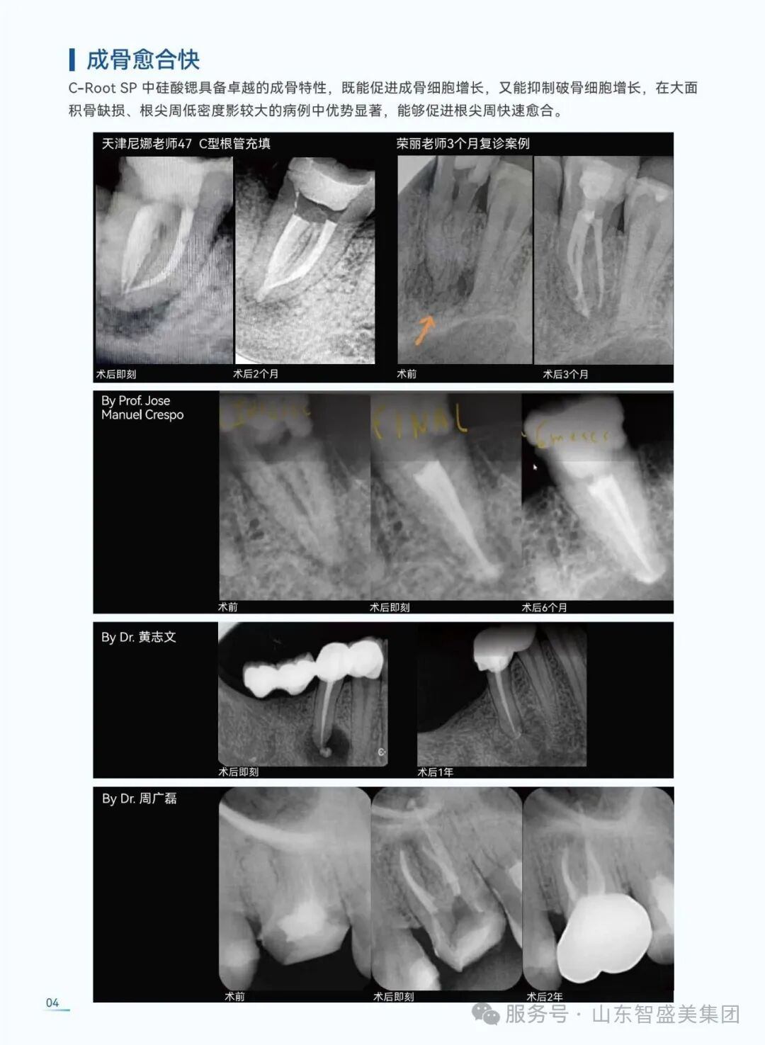
根管填充/修复
2026-01-08 16:07


 

相关信息
关注我们
关于我们

预购热线:0531-82707782

售后热线:0531-82707782

总部地址:山东省济南市槐荫区兴福寺路2660号万融中心1108室

Copyright © 2020 山东智盛美医疗股份有限公司 互联网药品信息服务资格证书 (鲁) - 非经营性-2024-0382 All Rights Reserved 备案号: 鲁ICP备2024132525号-1